首頁
診療服務
部落格
聯絡我們
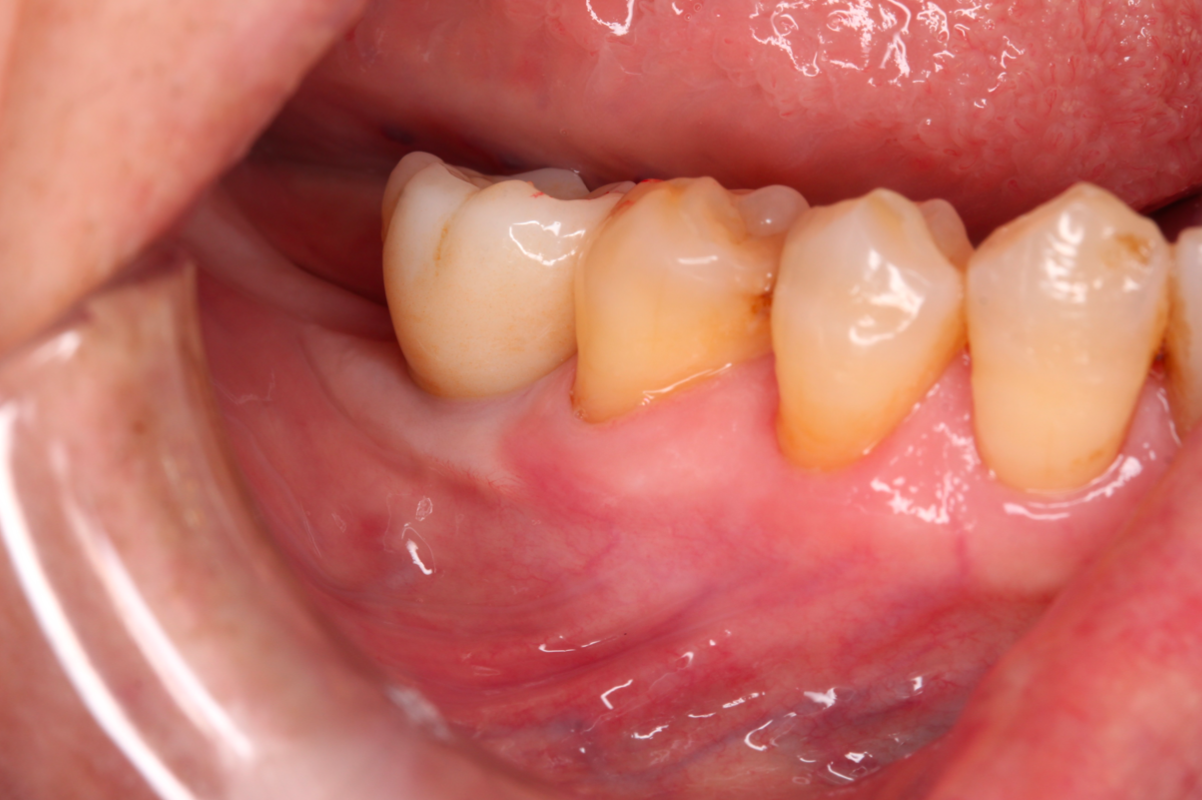
植牙的角化牙齦移植術補骨補肉
植牙的角化牙齦移植術|提升植牙成功率與美觀性,除了缺牙區,牙肉也要重建!

【治療醫師:林農翔 醫師】   植牙的角化牙齦移植術 植牙的角化牙齦移植術是一種在植牙手術中常見的程序,旨在改善患者缺牙區域的牙齦狀態,提高植牙的成功 …

Read More
即拔即種
拔牙當天就植牙,缺牙重建零時差,縮短時間重獲牙齒功能!即拔即種案例-陳小姐

【治療醫師:林農翔 醫師】 即拔即種 即拔即種是一種結合了拔除受損或斷裂的牙齒以及立即植入人工牙根的步驟,並在同一天內完成整個手術過程。 步驟通常是牙醫先進行局 …

Read More
活動假牙全口重建
利用活動假牙重建後牙咬合,兼顧美學、預算與實用性的全口重建案例-林先生

【全口重建:下顎無後牙支撐,上顎前牙假牙做了四年以後破損】 【治療醫師:林農翔 醫師】 林先生四年前完成的上顎前牙假牙來診時已經破損,下顎僅剩的六顆牙齒可以說是 …

Read More
全口重建假牙崩壞案例
全口重建|不要輕忽缺牙造成的蝴蝶效應:全口磨耗、假牙崩壞案例-黃先生

【全口重建:全口磨耗和缺失後牙支撐】 【治療醫師:林農翔 醫師】 黃先生因為前牙假牙搖動無法進食而走進診間,經過電腦斷層和照相檢查判斷,告訴他現在牙齒會有現在的 …

Read More
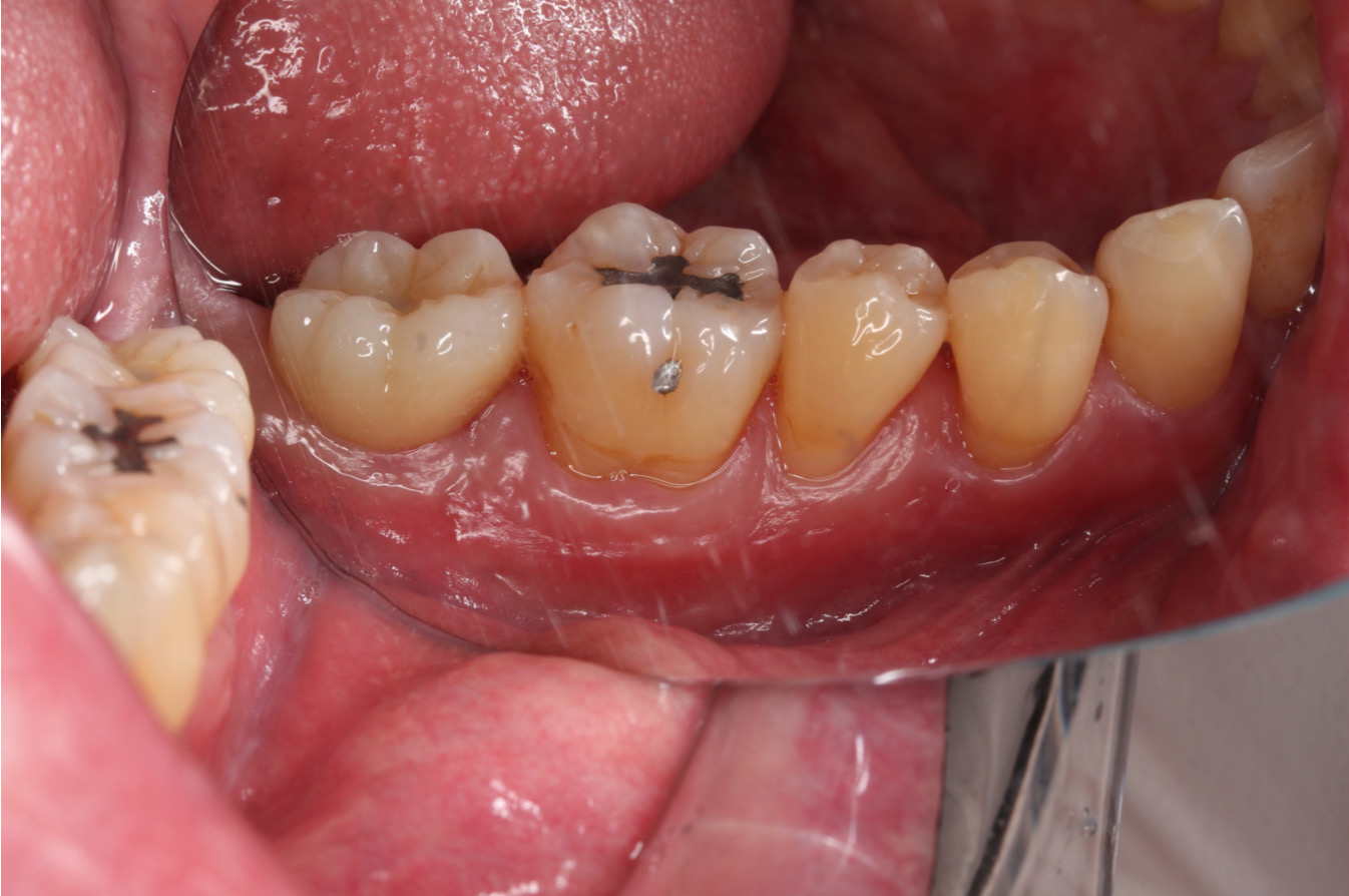
牙槽骨形狀
為什麼拔牙當下要補骨粉?即時保持牙槽骨形狀,助於日後植牙案例-陳先生

為什麼拔牙當下要一起補骨粉? (2023/04/15)   Socketpreservation是一種減少牙齒拔除後骨頭流失的手術,旨在保留牙槽骨的形 …

Read More
近期留言