[ 矯正醫師 ] : 展心牙醫 翟聿飛 醫師 [ 治療方式 ] : 利用矯正 , 將前突的齒列內收,改善外觀,右側咬合高度喪失重建,植牙,恢復美觀功能 [ 治 …
[ 矯正醫師 ] : 展心牙醫 翟聿飛 醫師 [ 植牙醫師 ] : 展心牙醫 謝慶威 醫師 [ 治療方式 ] : 利用矯正 , 將前突的齒列內收,改善外觀, …
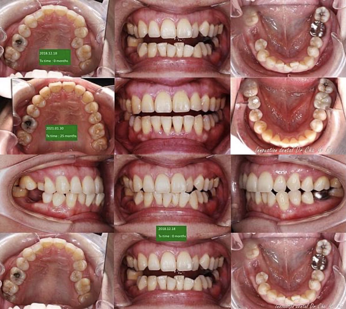
[ 矯正醫師 ] : 展心牙醫 翟聿飛 醫師 [ 植牙醫師 ] : 展心牙醫 王鵬懿 醫師 [ 治療方式 ] : 利用矯正 , 將傾倒的臼齒扶正,製造空間, …
[ 矯正醫師 ] : 展心牙醫 翟聿飛 醫師 [ 治療方式 ] : 拔牙矯正 ,使用迷你骨釘 , 將上顎齒列擴張,將側門牙彈出,改善錯咬,製造完美笑容 [ 治療 …
[ 矯正醫師 ] : 展心牙醫 翟聿飛 醫師 [ 治療方式 ] : 拔牙矯正 ,利用拔牙空間將暴牙空間內收 ,改善原本嘴唇前突。 [ 治療時間 ] : 26.5 …
近期留言